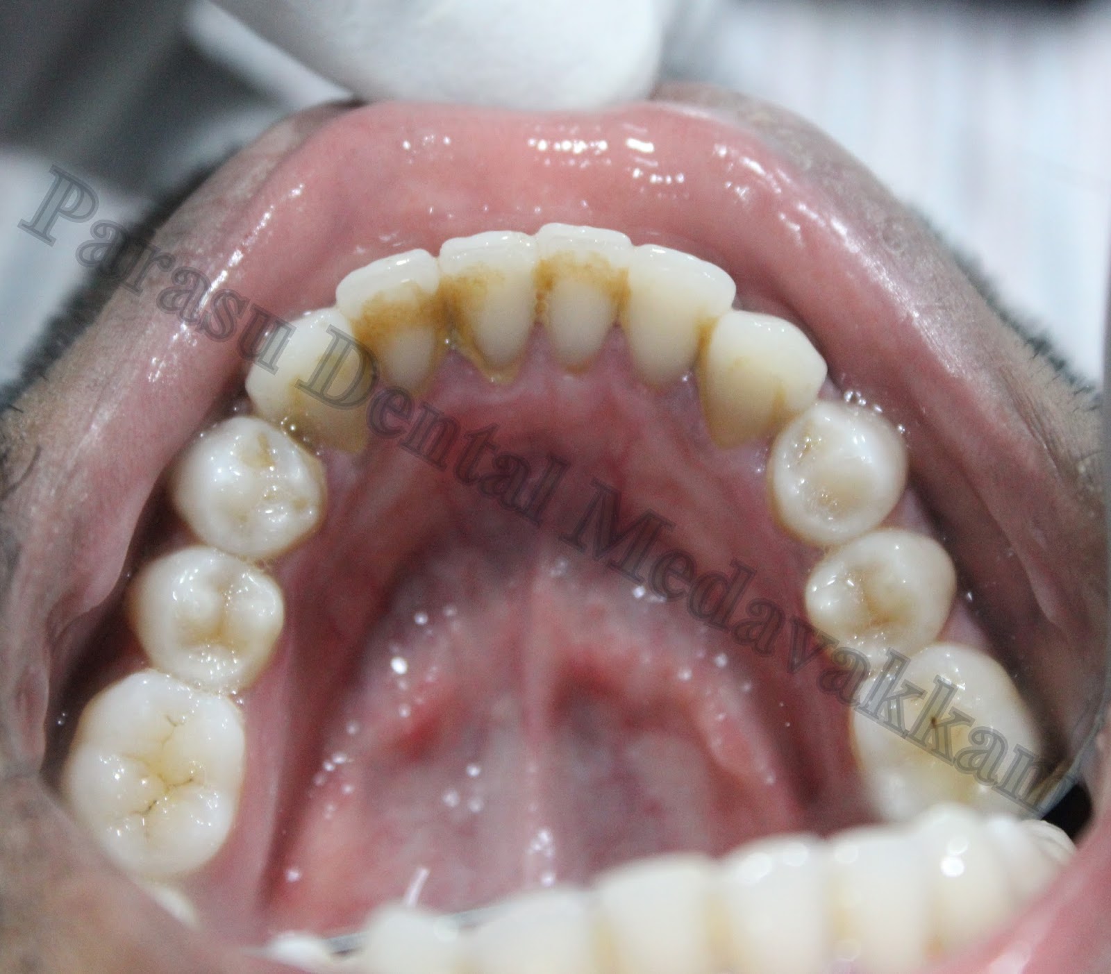
Patient came to our Parasu Dental Hospital with the chief complaint of bleeding gums. The best periodontist and laser specialist advised them deep cleaning and laser gum treatment. As per their advise, laser gum treatment was performed in the affordable cost. Now patient is devoid of bleeding gums.
PARASU DENTAL HOSPITAL AND IMPLANT CENTRE
NO 39 ALAGIRI STREET,c
VELACHERY- TAMBARAM MAIN ROAD,
SANTHOSAPURAM ,CHENNAI -73
CONTACT : +91 7299004333, + 91 9710442527.
E-MAIL ID :parasudentalimplantcenter@gmail.com
website : www.drvivekpandian.com










